All AbMole products are for research use only, cannot be used for human consumption.

Niltubacin, as an inactive derivative of Tubacinis, is a highly potent and selective, reversible cell-permeable inhibitor of HDAC6. Histone deacetylase 6 (HDAC6) is structurally and functionally unique among the 11 human zinc-dependent histone deacetylases. HDAC6-selective inhibitor tubacin significantly enhances cell death induced by the topoisomerase II inhibitors etoposide and doxorubicin and the pan-HDAC inhibitor SAHA (vorinostat) in transformed cells (LNCaP, MCF-7), an effect not observed in normal cells. The inactive analogue of tubacin, nil-tubacin, does not sensitize transformed cells to these anticancer agents.
EMBO J. 2019 Jan 15;38(2).
Prominin-1 controls stem cell activation by orchestrating ciliary dynamics.
Niltubacin purchased from AbMole
J Cell Biochem. 2017 Apr 27.
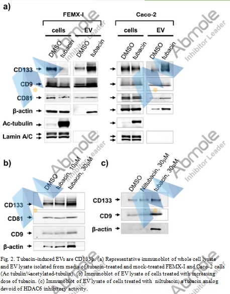
The HDAC6 Inhibitor Tubacin Induces Release of CD133þ Extracellular Vesicles From Cancer Cells
Niltubacin purchased from AbMole
Mol Cell Biol. 2016 Oct 28;36(22):2838-2854.
Activated Transcription Factor 3 in Association with Histone Deacetylase 6 Negatively Regulates MicroRNA 199a2 Transcription by Chromatin Remodeling and Reduces Endothelin-1 Expression.
Niltubacin purchased from AbMole
| Cell Experiment | |
|---|---|
| Cell lines | Raji cells |
| Preparation method | Cell adhesion assay Prior to SDF-1α (100 ng/ml) stimulation, Raji cells were treated with DMSO, NaB (1 μM), or tubacin (1 μM) for 3 hours. Then cells were plated into a 96-well plate which were precoated with Fibronectin (50 ng/ml) to allow cell adherence for 30 minutes. Subsequently cells were washed with PBS three times to remove the non-adherent cells, and adherent cells were measured by CellTiter-Glo luminescent cell viability assay kit. |
| Concentrations | 1μM |
| Incubation time | 3h |
| Animal Experiment | |
|---|---|
| Animal models | PLD animal model 3-week-old PCK rats |
| Formulation | saline |
| Dosages | 30 mg/kg body |
| Administration | intraperitoneally |
| Molecular Weight | 706.85 |
| Formula | C41H42N2O7S |
| Solubility (25°C) | DMSO ≥5 mg/mL |
| Storage |
Powder -20°C 3 years ; 4°C 2 years In solvent -80°C 6 months ; -20°C 1 month |
| Related HDAC Products |
|---|
| Belinostat
Belinostat (PXD101) is a novel HDAC inhibitor with an IC50 of 27 nM. |
| CUDC-101
CUDC-101 is a potent multitargeted HDAC, EGFR and HER2 inhibitor with IC50 of 4.4, 2.4, and 15.7 nM, respectively. |
| Givinostat hydrochloride monohydrate
ITF2357 (Givinostat, Gavinostat) is a histone deacetylase inhibitor. The IC50 values for maize HDAC preparations HD2, HD-1B and HD-1A are 10, 7.5 and 16 nM respectively. |
| Tubacin
Tubacin (Tubulin Acetylation Inducer) is a highly potent and selective, reversible cell-permeable inhibitor of HDAC6 with IC50 of 0.004µM. |
| LAQ824
LAQ824 (NVP-LAQ824) is a potent novel histone deacetylase (HDAC) inhibitor with an IC50 of 0.032 μM. |
All AbMole products are for research use only, cannot be used for human consumption or veterinary use. We do not provide products or services to individuals. Please comply with the intended use and do not use AbMole products for any other purpose.
Products are for research use only. Not for human use. We do not sell to patients.
© Copyright 2010-2026 AbMole BioScience. All Rights Reserved.
