All AbMole products are for research use only, cannot be used for human consumption.

Leonurine hydrochloride is an alkaloid isolated from Herba leonuri, with anti-oxidative and anti-inflammatory.
| Cell Experiment | |
|---|---|
| Cell lines | RAW 264.7 cells |
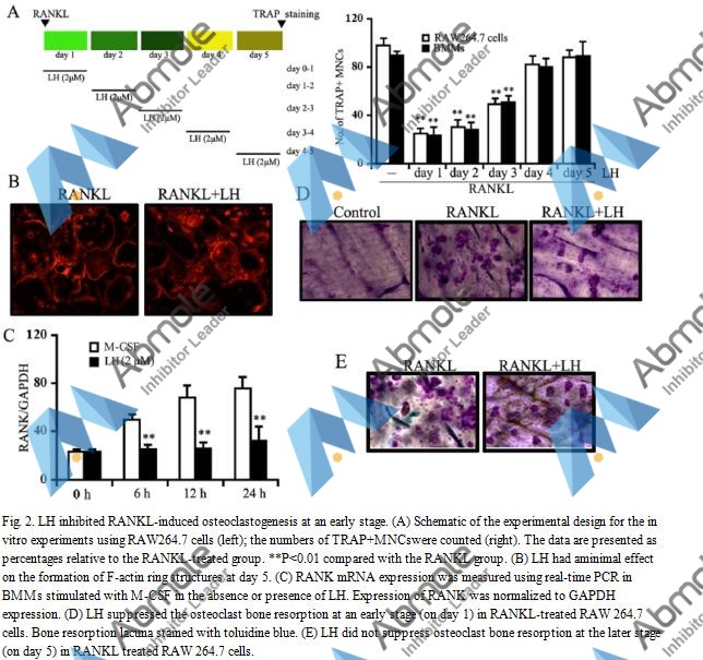
| Preparation method | RAW 264.7 cells were seeded in a 6-cm dish and pretreated with different concentrations of LH (2 μM) for 6 h, and then stimulated with RANKL (100 ng/mL) for 15 min. The cells were washed with icecold PBS and lysed in radioimmunoprecipitation assay (RIPA) buffer. |
| Concentrations | 2 μM |
| Incubation time | 6 h |
| Animal Experiment | |
|---|---|
| Animal models | Male Sprague-Dawley rats |
| Formulation | 0.5% sodium carboxymethyl cellulose (CMC) solution |
| Dosages | 30 mg/kg |
| Administration | oral |
| Molecular Weight | 347.79 |
| Formula | C14H21O5N3.HCl |
| CAS Number | 24735-18-0 |
| Solubility (25°C) | Water 4 mg/mL DMSO 24 mg/mL |
| Storage | 4°C, dry, sealed |
| Related Immunology/Inflammation Products |
|---|
| Laquinimod
Laquinimod (ABR-215062) is a new orally active immunoregulator effectively inhibits development and relapses of experimental autoimmune encephalomyelitis. |
| Cyclosporine A
Cyclosporine A (CsA,Cyclosporin A) is an immunosuppressant that binds to cyclophilin and inhibits calcineurin with an IC50 of 7 nM. Cyclosporine A [CsA] binds to the cyclophilin 18 (Cyp18)-CsA complex. the Cyp18-CsA complex recruits calcium-regulated neurophosphatase (CaN), leading to the blocking of cytokine gene transcription in activated T cells. CsA is a highly specific inhibitor of T-cell activation. |
| Pimecrolimus
Pimecrolimus is an immunomodulating agent used in the treatment of atopic dermatitis. |
| Meloxicam
Meloxicam (Mobic) is a nonsteroidal anti-inflammatory agent with analgesic and fever reducer effects. |
| Mycophenolic acid
Mycophenolic acid is an immunosuppressant agent used to prevent rejection in organ transplantation. |
All AbMole products are for research use only, cannot be used for human consumption or veterinary use. We do not provide products or services to individuals. Please comply with the intended use and do not use AbMole products for any other purpose.
Products are for research use only. Not for human use. We do not sell to patients.
© Copyright 2010-2026 AbMole BioScience. All Rights Reserved.
