All AbMole products are for research use only, cannot be used for human consumption.

IWP-2 is an inhibitor of Wnt production. IWP-2 inactivates Porcupine, a membrane-bound O-acyltransferase responsible for palmitoylating Wnt proteins, which is essential for their signaling ability and secretion. IWP-2 selectively inhibits palmitoylation of Wnt, and blocks Wnt-dependent phosphorylation of Lrp6 receptor and Dvl2, and β-catenin accumulation. IWP-2 is useful in both suppressing embryonic stem cell self-renewal and decreasing cancer cell proliferation, migration and invasion.
Biochem Pharmacol. 2025 Aug 28; .
Plumbagin inhibits CYP2J/EETs metabolic pathway and leads to heart injury in cardiac organoids and rats
IWP-2 purchased from AbMole
Cell Death Dis. 2024 Mar 26;15(3):234.
Nuclear receptor NURR1 functions to promote stemness and epithelial-mesenchymal transition in prostate cancer via its targeting of Wnt/β-catenin signaling pathway
IWP-2 purchased from AbMole
Chem Biol Interact. 2023 Dec 1;386:110777.
Assessment of doxorubicin toxicity using human cardiac organoids: A novel model for evaluating drug cardiotoxicity
IWP-2 purchased from AbMole
Stem Cell Reports. 2021 Jun 8;16(6):1568-1583.
Photobiomodulation therapy for hair regeneration: A synergetic activation of β-CATENIN in hair follicle stem cells by ROS and paracrine WNTs
IWP-2 purchased from AbMole
Oncol Rep. 2020 Aug;44(2):577-588.
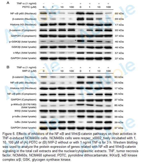
TNF‑α promotes the malignant transformation of intestinal stem cells through the NF‑κB and Wnt/β‑catenin signaling pathways
IWP-2 purchased from AbMole
| Cell Experiment | |
|---|---|
| Cell lines | MKN28 cell line |
| Preparation method | Cell proliferation assay CellTiter 96 Aqueous Non-Radioactive Cell Proliferation Assay kit was used. Transwell migration and invasion assay Haptotaxis chambers (8-μm pore size) without or with 5 mg/ml matrigel were used for migration and invasion assays, respectively. The experiments were repeated three times independently. |
| Concentrations | 0,5,10,20,50µM |
| Incubation time | 5 days |
| Animal Experiment | |
|---|---|
| Animal models | six month-old zebrafish model |
| Formulation | 0.1% DMSO |
| Dosages | 10 μM |
| Administration | in aquarium water supplemented with 10 μM IWR-1 or in 0.1% DMSO as a control |
| Molecular Weight | 466.6 |
| Formula | C22H18N4O2S3 |
| CAS Number | 686770-61-6 |
| Solubility (25°C) | DMSO 2 mg/mL DMF 8 mg/mL |
| Storage |
Powder -20°C 3 years ; 4°C 2 years In solvent -80°C 6 months ; -20°C 1 month |
| Related Wnt/beta-catenin Products |
|---|
| XAV939
XAV939 is a potent, cell-permeable small molecule inhibitor of the Wnt/β-catenin pathway to TNKS1 and TNKS2 with IC50 values of 11 and 4 nM respectively. |
| ICG-001
ICG-001 is a novel small molecule inhibitor of TCF/beta-catenin-mediated transcription. ICG-001 specifically binds to cyclic AMP response element-binding protein with an IC50 of 3 μM. |
| IWP-L6
IWP-L6 is a highly potent Porcn inhibitor with EC50 of 0.5 nM. |
| IWR-1-endo
IWR-1 (endo-IWR 1) is a Wnt pathway inhibitor with IC50 of 180 nM, induces Axin2 protein levels and promotes β-catenin phosphorylation by stabilizing Axin-scaffolded destruction complexes. |
| LGK-974
LGK-974 (WNT-974) is a potent and specific PORCN inhibitor, and inhibits Wnt signaling with IC50 of 0.4 nM. |
All AbMole products are for research use only, cannot be used for human consumption or veterinary use. We do not provide products or services to individuals. Please comply with the intended use and do not use AbMole products for any other purpose.
Products are for research use only. Not for human use. We do not sell to patients.
© Copyright 2010-2026 AbMole BioScience. All Rights Reserved.
