All AbMole products are for research use only, cannot be used for human consumption.

Apatinib (also known as YN968D1) is an orally bioavailable, small molecule inhibitor that selectively inhibits the vascular endothelial growth factor receptor-2 (VEGFR2, also known as KDR). Apatinib specifically inhibits VEGF-mediated endothelial cell migration and proliferation thus blocking new blood vessel formation in tumor tissue. Apatinib also mildly inhibits c-Kit and c-SRC tyrosine kinases. Apatinib (YN968D1) significantly enhanced the cytotoxicity of ABCB1 or ABCG2 substrate drugs in KBv200, MCF-7/adr, and HEK293/ABCB1 cells overexpressing ABCB1 and in S1-M1-80, MCF-7/FLV1000, and HEK293/ABCG2-R2 cells overexpressing ABCG2 (wild-type). Apatinib significantly increased the intracellular accumulation of rhodamine 123 and doxorubicin in the multidrug resistance (MDR) cells. Furthermore, apatinib (YN968D1) significantly increased the ATPase activity of both ABCB1 and ABCG2.
Phytomedicine. 2022 Jun;100:154068.
Geniposide alleviates VEGF-induced angiogenesis by inhibiting VEGFR2/PKC/ERK1/2-mediated SphK1 translocation
Apatinib mesylate purchased from AbMole
J Cancer Res Clin Oncol. 2022 Aug 11.
The crosstalk between lung cancer cells and platelets promotes tumor angiogenesis in vivo and in vitro
Apatinib mesylate purchased from AbMole
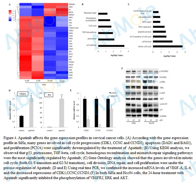
Cell Cycle. 2018;17(10):1235-1244.
Apatinib, a novel tyrosine kinase inhibitor, suppresses tumor growth in cervical cancer and synergizes with Paclitaxel.
Apatinib mesylate purchased from AbMole
| Cell Experiment | |
|---|---|
| Cell lines | HUVEC cells |
| Preparation method | Cell proliferation assays. The HUVEC were seeded into 96-well plates. After 24 h of incubation, cells were exposed to the test agents (vehicle as control) together with 20 ng⁄ mL VEGF or 20% FBS for another 72 h. After fixation with 10% trichloroacetic acid, the cells were stained with 0.4% sulforhodamine B for 30 min at 37C and then washed with 1% acetic acid. Tris was added to dissolve the complex, and the optical density was measured at 520 nm. |
| Concentrations | 0.1 and 1μM |
| Incubation time | 72 h |
| Animal Experiment | |
|---|---|
| Animal models | Ls174t, HCT 116, SGC-7901, HT-29, A549, NCI-H460 cells tumour xenograft in BALB/cA nude mice |
| Formulation | 0.5% (w ⁄ v) carboxymethyl cellulose and 5% (w ⁄ v) glucose solution |
| Dosages | 50, 100, 200 mg/kg once daily for 14, 18 or 21days |
| Administration | oral gavage |
| Molecular Weight | 493.58 |
| Formula | C25H27N5O4S |
| CAS Number | 1218779-75-9 |
| Solubility (25°C) | DMSO 22 mg/mL |
| Storage |
Powder -20°C 3 years ; 4°C 2 years In solvent -80°C 6 months ; -20°C 1 month |
| Related VEGFR/PDGFR Products |
|---|
| Ramucirumab
Ramucirumab is a direct VEGFR2 antagonist, that binds with high affinity to the extracellular domain of VEGFR2 and block the binding of natural VEGFR ligands (VEGF-A, VEGF-C and VEGF-D). |
| ABT-869
ABT-869 (Linifanib) is an ATP-competitive, multi-targeted RTK inhibitor that is completely effective against all members of VEGFR and PDGFR. |
| Tivozanib (AV-951)
Tivozanib (AV-951) is a potent VEGFR-1, 2 and 3, c-Kit and PDGFR inhibitor with IC50 of 0.21, 0.16, 0.24, 1.63 and 1.72 nM respectively. |
| Axitinib
Axitinib (AG013736) inhibits multiple targets including VEGFR, PDGFR and cKit. |
| Regorafenib
Regorafenib (BAY 73-4506) is a novel oral multikinase inhibitor of c-KIT, VEGFR2, B-Raf with IC50s of 17, 40 and 69 nM respectively. |
All AbMole products are for research use only, cannot be used for human consumption or veterinary use. We do not provide products or services to individuals. Please comply with the intended use and do not use AbMole products for any other purpose.
Products are for research use only. Not for human use. We do not sell to patients.
© Copyright 2010-2026 AbMole BioScience. All Rights Reserved.
